- Cochrane 635 - Torre B Oficina 1403, Concepción
- contacto@clinicaryo.cl
- (+569) 7608 8855
Especialista en Ortodoncia y Ortopedia Dentomaxilofacial
Dra. Constanza Vilches Guajardo
La Dra. Constanza Vilches G. es especialista en Ortodoncia y Ortopedia Dentomaxilofacial, y entiende que una sonrisa no solo transforma el rostro, sino también la seguridad y la forma en que cada persona se relaciona con el mundo. Su práctica se basa en precisión diagnóstica, planificación estratégica y técnicas avanzadas que garantizan resultados armónicos, funcionales y duraderos. Como socia activa de la Sociedad de Ortodoncia de Chile, se mantiene en constante actualización científica y tecnológica, asegurando tratamientos alineados con los más altos estándares internacionales. Cuenta con certificaciones en Chile y el extranjero en distintos sistemas para niños y adultos, lo que le permite abordar desde tratamientos preventivos hasta casos complejos con absoluta seguridad y control clínico.
¿Qué es la Ortodoncia?
La ortodoncia es una especialidad de la odontología que se encarga de diagnosticar, prevenir y corregir las irregularidades en la alineación de los dientes y la mordida. Utiliza diversos dispositivos, como brackets, alineadores invisibles, y otros aparatos con el objetivo de lograr una sonrisa más estética y funcional. Nunca es demasiado temprano ni demasiado tarde para mejorar tu sonrisa: la ortodoncia está indicada para pacientes de todas las edades, desde niños hasta adultos, logrando resultados efectivos y duraderos en cualquier etapa de la vida.
Ortodoncia niños, jóvenes y adultos
Corregimos la posición de los dientes y la función de la mordida, con tratamientos adaptados a cada edad. Ofrecemos opciones visibles como brackets tradicionales y alternativas discretas como alineadores transparentes y brackets estéticos.
Rehabilitación Estética
Mejoramos la armonía de tu sonrisa mediante carillas y blanqueamientos dentales, utilizando planificación digital y técnicas mínimamente invasivas para lograr resultados naturales sin dañar tus dientes.
Periodoncia
Tratamos y prevenimos enfermedades de las encías como la gingivitis y periodontitis, asegurando una base saludable para tu dentadura y previniendo la pérdida dental a largo plazo.
Prevención e Higiene Dental
Nuestro equipo de higienistas realiza limpiezas profesionales y tratamientos preventivos para mantener tu boca sana, previniendo enfermedades y garantizando el éxito de cualquier tratamiento odontológico.
Tratamientos de Ortodoncia y ortopedia dentomaxilofacial
Brackets
Metálicos
El tratamiento ortodóntico más tradicional y eficaz. Los brackets metálicos permiten corregir de forma precisa la posición de los dientes y la mordida, siendo ideales para casos complejos. Son resistentes y ofrecen excelentes resultados en menos tiempo.
Brackets
Estéticos
Una alternativa más discreta que utiliza materiales como cerámica o zafiro, que se mimetizan con el color natural de los dientes. Ofrecen los mismos beneficios que los brackets metálicos, pero con una apariencia más estética y sutil.
Alineadores
Transparentes
Los alineadores son una alternativa de tratamiento de ortodoncia. Consisten en una serie de férulas transparentes y removibles, diseñadas a medida, que ejercen movimientos suaves y progresivos para corregir la posición de los dientes. Cada juego de alineadores se cambia periódicamente, siguiendo un plan digital personalizado que permite visualizar la evolución del tratamiento.
Son ideales para quienes buscan alinear su sonrisa de forma discreta y con mayor confort.
Tratamientos
Ortodoncicos-Quirurgicos
La ortodoncia con cirugía ortognática es un tratamiento indicado cuando los maxilares (superior e inferior) no están correctamente alineados entre sí y esto no puede corregirse solo con brackets o alineadores.
El proceso se realiza en equipo entre el ortodoncista y el cirujano maxilofacial. Primero se alinean los dientes con ortodoncia. Luego, mediante una cirugía planificada y segura, se corrige la posición de los maxilares para lograr una mordida equilibrada y una mejor armonía facial. Finalmente, se ajustan los últimos detalles con ortodoncia.
Este tratamiento no solo mejora la estética del rostro y la sonrisa, sino también la función al masticar, hablar e incluso respirar. Todo el proceso se planifica de forma personalizada para ofrecer resultados estables, funcionales y armónicos a largo plazo.
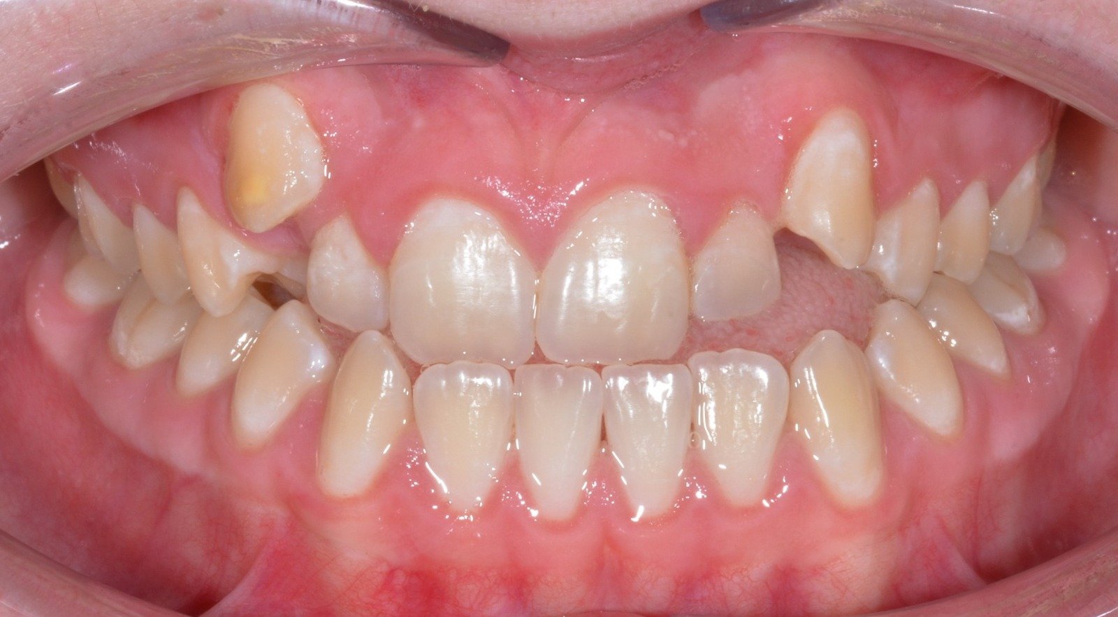
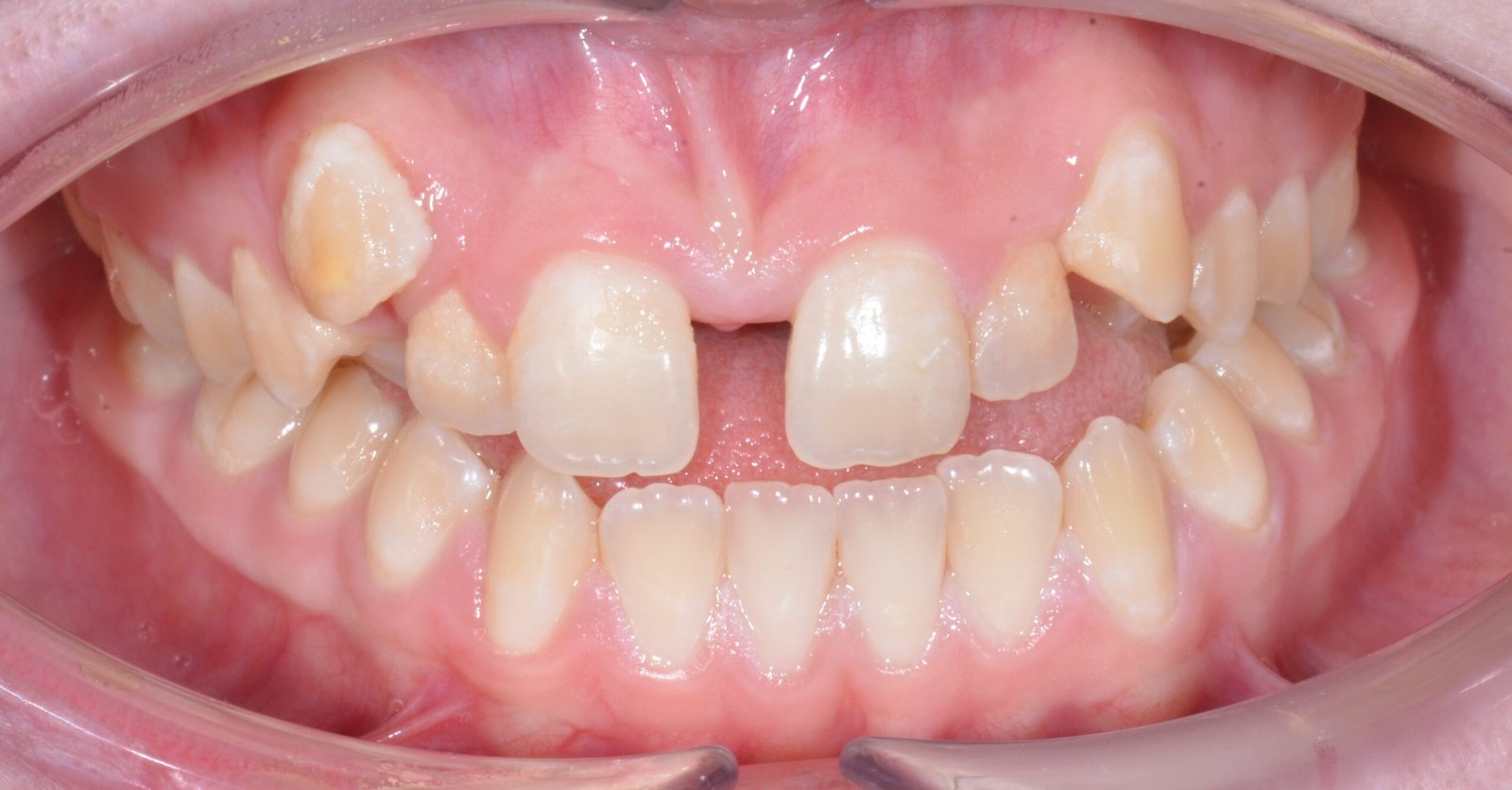
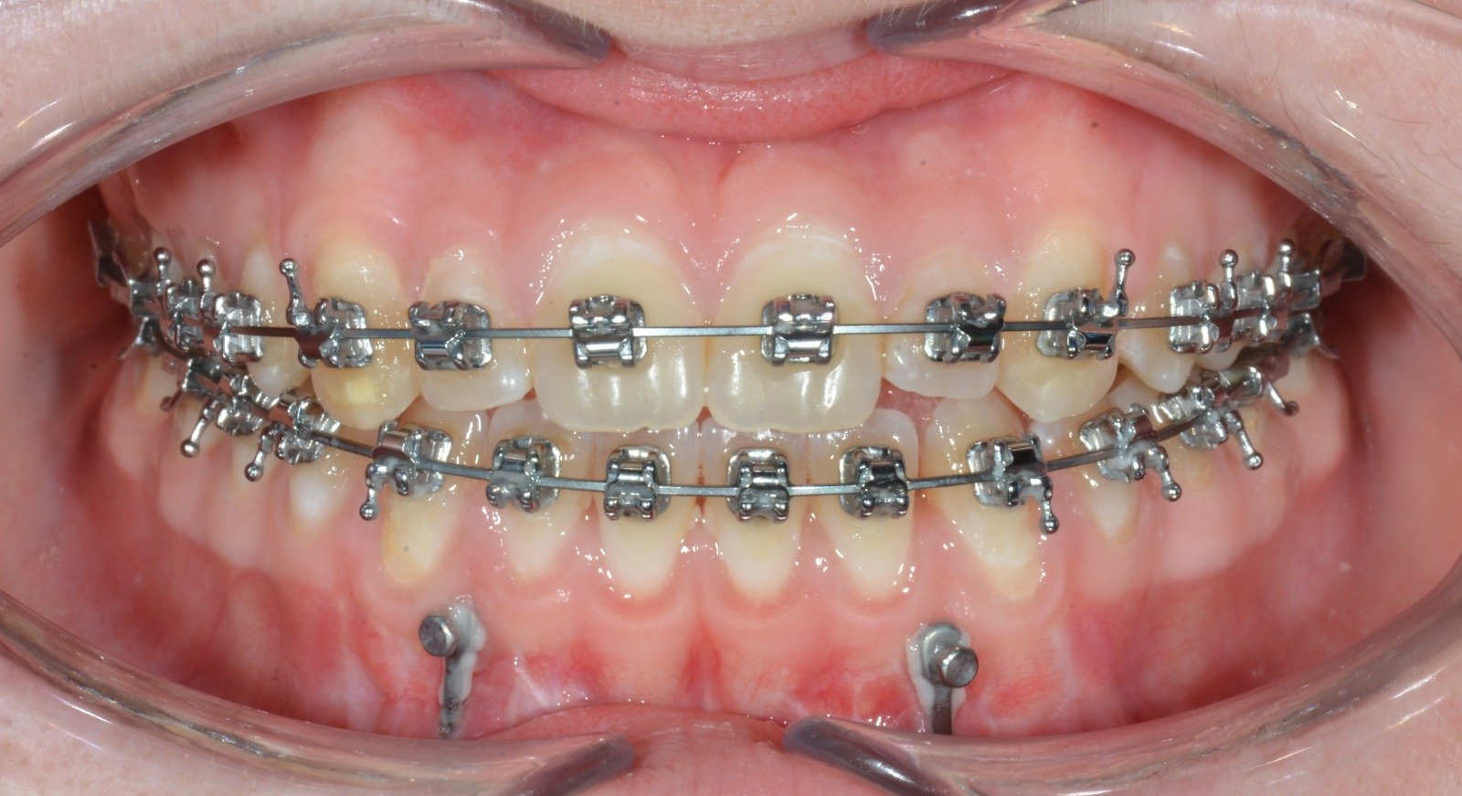
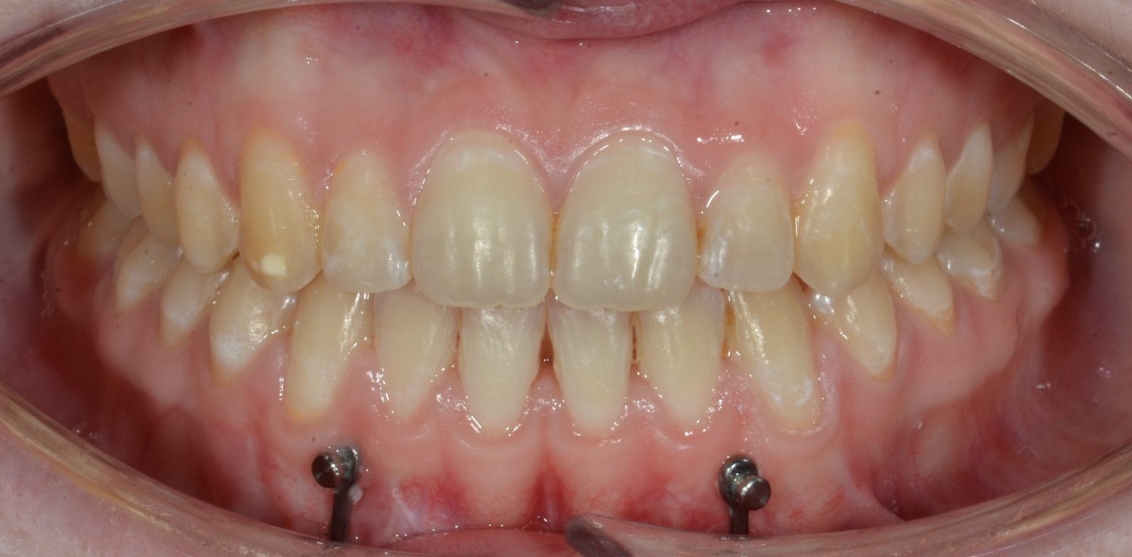
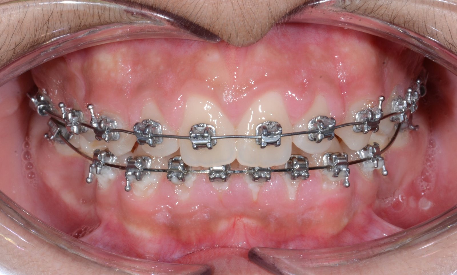
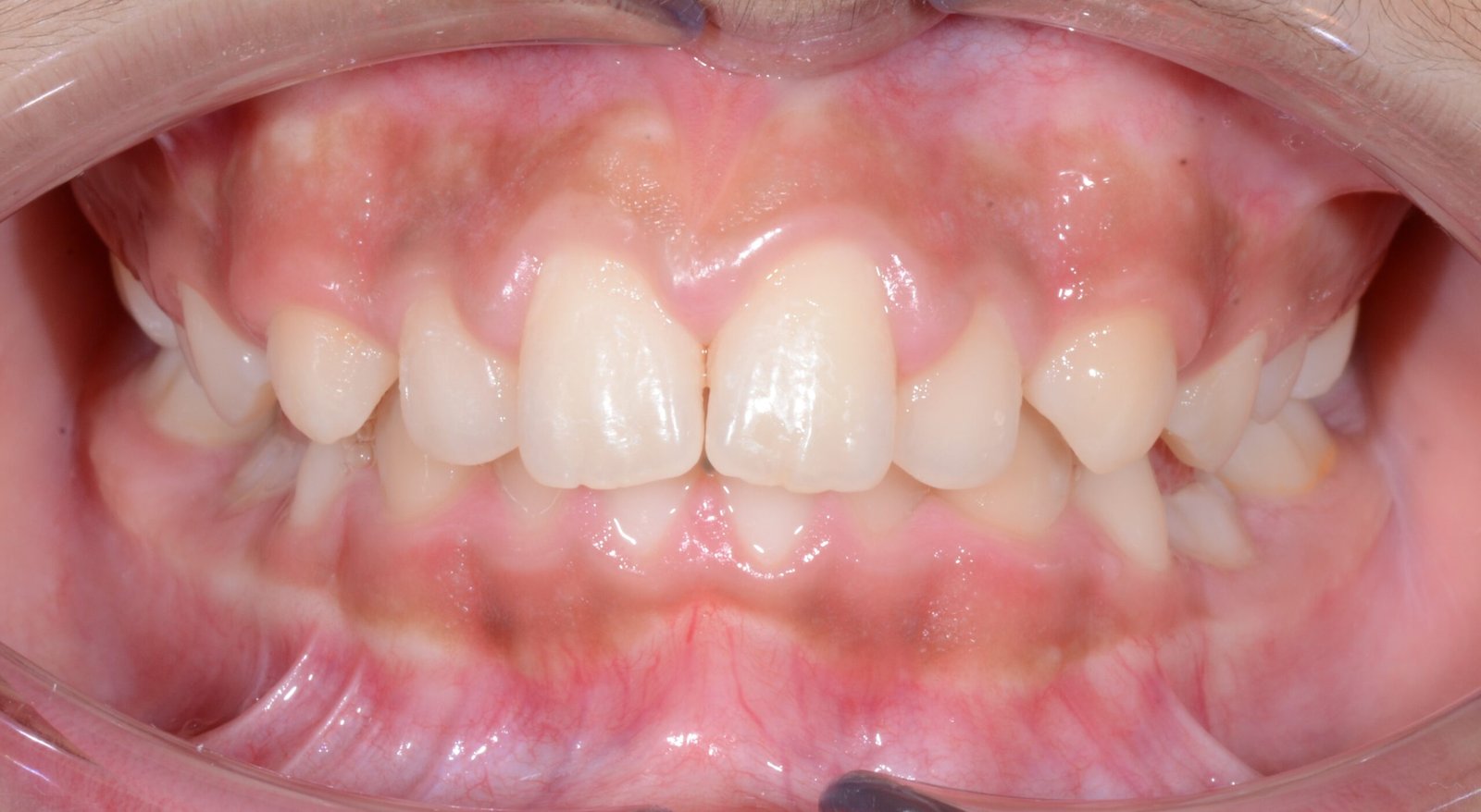
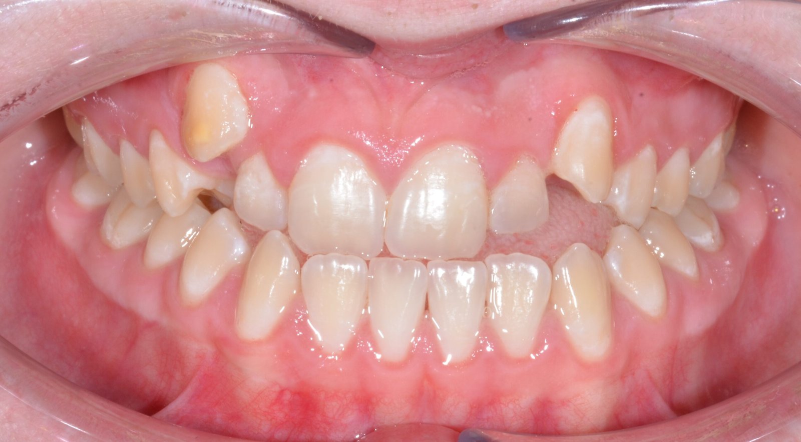
resultados antes y después
Inicio del tratamiento


Descripción tratamiento aplicado


FIN DEL TRATAMIENTO
Inicio del tratamiento


Descripción tratamiento aplicado


Fin del tratamiento
Preguntas
Frecuentes
¿Qué es la ortodoncia y cómo puede mejorar mi sonrisa?
tratamiento que corrige la alineación de los dientes y la mordida, mejorando tanto la estética como la funcionalidad de tu sonrisa.
¿A qué edad es recomendable comenzar un tratamiento de ortodoncia?
Se recomienda siempre realizar una primera evaluación a los 6 años, para poder prevenir o corregir problemas en el crecimiento, sin embargo, puedes comenzar tu tratamiento de ortodoncia a cualquier edad.
¿Es posible usar ortodoncia si ya soy adulto?
Sí, la ortodoncia es efectiva a cualquier edad y mejora tanto la estética como la salud bucal, sin importar cuántos años tengas.
¿Qué diferencia hay entre los brackets tradicionales y los alineadores invisibles (Invisalign)?
Los brackets tradicionales son metálicos y visibles, mientras que los alineadores invisibles son transparentes y removibles, ofreciendo mayor discreción.
¿Cuánto tiempo durará mi tratamiento de ortodoncia?
El tiempo varía según el caso, pero generalmente dura entre 12 y 24 meses, dependiendo de la complejidad del tratamiento.
¿Los alineadores invisibles son tan efectivos como los brackets tradicionales?
Sí, los alineadores invisibles son muy efectivos para la mayoría de los casos, especialmente para los problemas más leves a moderados.
Ubicación
Enlace directo
Contactos
- (+569) 7608 8855
- (+41) 3163692
- contacto@clinicaryo.cl
Redes sociales
Ubicación
Concepción
Torre B Oficina #1403
Cochrane 635
Enlace directo
Contactos
- (+569) 7608 8855
- (+41) 3163692
- contacto@clinicaryo.cl